Polycystic Ovary Syndrome (PCOS)

Written by Priyanga Kumarakulasingam

Last updated 2nd February 2025
11 Revisions

Polycystic Ovary Syndrome (PCOS) - Podcast Version

TeachMeObGyn

0:00 / 0:00

Polycystic ovary syndrome (PCOS) is a common endocrine disorder, characterised by excess androgen production and the presence of multiple immature follicles (“cysts”) within the ovaries.

In the UK, it affects 5-10% of premenopausal women. The most common clinical features include infertility, amenorrhoea, acne and/or hirsutism.

In this article, we shall look at the risk factors, clinical features and management of polycystic ovary syndrome.

Pro Feature - 3D Model

Aetiology & Pathophysiology

The aetiology of polycystic ovary syndrome is poorly understood, and is thought to be multifactorial in origin.

The two most common hormonal abnormalities present in PCOS are:

  • Excess luteinising hormone (LH) – produced by the anterior pituitary gland in response to an increased GnRH pulse frequency.
    • This stimulates ovarian production of androgens.
  • Insulin resistance – resulting in high levels of insulin secretion.
    • This suppresses hepatic production of sex hormone binding globulin (SHBG), resulting in higher levels of free circulating androgens.

Despite the high levels of LH, the increased circulating androgens suppress the LH surge (which is required for ovulation to occur). Follicles develop within the ovary, but are arrested at an early stage (due to the disturbed ovarian function) – and they remain visible as “cysts” within the ovary.

Risk Factors

Individuals with diabetes, irregular menstruation and/or a family history of PCOS are at an increased risk of developing polycystic ovary syndrome.

Clinical Features

Polycystic ovary syndrome produces a range of signs and symptoms, and has a varied clinical presentation. The most common symptoms reported by women include:

  • Oligomenorrhoea or amenorrhoea
  • Infertility
  • Hirsutism
  • Obesity
  • Chronic pelvic pain
  • Depression (and other psychological symptoms)

On examination, there may be evidence of hirsutism, acne, acanthosis nigricans (darkened skin, which occurs secondary to insulin resistance), male pattern hair-loss, obesity and/or hypertension.

Fig 1 - Features of PCOS; (A) Hirsuitism and (B) Acanthosis nigricans.

Fig 1
Features of PCOS; (A) Hirsuitism and (B) Acanthosis nigricans.

Differential Diagnoses

There are a number of differential diagnoses to consider in cases of suspected polycystic ovary syndrome. The alternative endocrine diagnoses include:

  • Hypothyroidism – obesity, hair loss and insulin resistance.
  • Hyperprolactinaemia – oligomenorhoea/amenorrhoea, acne and hirsutism.
  • Cushing’s disease – obesity, acne, hypertension, insulin resistance and depression.

Investigations

In the UK, the most commonly used diagnostic criteria is the Rotterdam Criteria (2003). It gives a diagnosis of PCOS if two out of three criteria are met:

  • Oligo- and/or anovulation
  • Clinical and/or biochemical signs of hyperandrogenism
  • Polycystic ovaries on imaging

Blood Tests

The main blood tests include testosterone, sex hormone-binding globulin, gonadotrophins and progesterone. Their reference ranges and typical findings in PCOS are listed below.

Reference range PCOS Additional notes
Testosterone 0.5-3.5 nmol/L Raised
SHBG 16-119 nmol/L Low
LH

 

FSH

2-10 IU/L

 

2-8 IU/L

Raised

 

Normal

Best measured during days 1-3 of menstrual bleed. LH and FSH can be within the normal range; however it is the elevated LH:FSH ratio that should be noted. A level of 3:1 is enough to disrupt ovulation.
Progesterone See additional notes Low Progesterone levels will vary depending on the day of the menstrual cycle. However for women with symptoms of oligo-amenorrhoea, it will remain low throughout the menstrual cycle.

Table 1: Routine blood tests to confirm diagnosis of PCOS.

Blood tests can also be used to exclude other differential diagnoses – such as thyroid stimulating hormone for hypothyroidism, or serum prolactin for hyperprolactinaemia (although a mildly elevated prolactin level can be observed in PCOS).

Women with PCOS are at a increased risk of diabetes. Consider performing an oral glucose tolerance test – particularly in women with a BMI >30.

Imaging

Typical ultrasound findings are numerous peripheral ovarian follicles (“cysts”), and/or ­ovarian volume >10cm3.

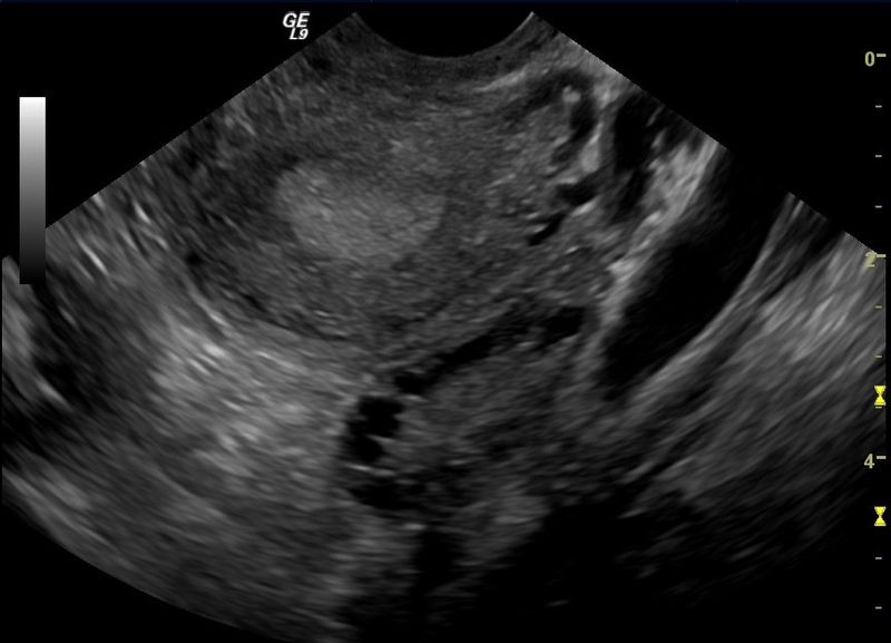
Fig 2 - Transvaginal scan of polycystic ovary.

Fig 2
Transvaginal scan of polycystic ovary.

Management

The management of PCOS is tailored to the woman’s individual symptoms and needs. In general, first treat any underlying conditions such as diabetes or hypertension.

Oligomenorrhoea/Amenorrhoea

In anovulatory menstrual cycles, the effect of oestrogen is unopposed due to lower levels of progesterone. This can cause endometrial hyperplasia, which has a risk of becoming malignant.

Therefore, in amenorrhoeic women, it is important to protect the endometrium from hyperplasia by inducing at least 3 bleeds per year. This can be done by using:

  • Combined oral contraceptive pill (low dose).
  • Dydrogesterone – a progesterone analogue. This is often used if the combined pill is contraindicated.

Obesity

Weight management in PCOS is vital – achieving a BMI of under 30 may be enough to trigger a regular menstrual cycle.

Advise and encourage a heathy lifestyle, including healthy diet and exercise. This will increase insulin sensitivity. In severe cases, orlistat (pancreatic lipase inhibitor) can be prescribed.

Infertility

Clomifene +/- metformin helps induce ovulation and is therefore the first line of treatment for women wishing to conceive. However, there is an increased risk of multiple pregnancies, ovarian hyperstimulation syndrome and ovarian cancer (therefore it is limited to use in 6 cycles).

Women with a normal BMI could also benefit from laparoscopic ovarian drilling.

Note: As well as improving insulin sensitivity, Metformin helps with menstrual disturbance and ovulatory function. NICE guidelines recommend Metformin for women trying to conceive with a BMI >25.

Hirsutism

Hirsutism can be treated both cosmetically and/or with anti-androgen medication such as cyproterone, spironolactone or finasteride. However, these should be avoided during pregnancy as they are teratogenic.

Eflornithine is a topical cream that can also be used to help reduce the growth rate of facial hair.

Summary

  • Polycystic ovary syndrome (PCOS) is a common endocrine disorder, characterised by excess androgen production and the presence of multiple immature follicles (“cysts”) within the ovaries.
  • The cause of PCOS is unknown but is thought to be due to a mix of genetic and environmental factors resulting in hormonal abnormalities (excess LH levels and insulin resistance).
  • Signs and symptoms include oligo-/amenorrhoea, infertility, hirsutism, obesity and acne.
  • Important investigations for a diagnosis are biochemistry and a pelvic ultrasound scan.
  • Management is catered to each woman’s needs:
    • Low dose combined oral contraceptive pill or dydrogesterone for oligo-/amenorrhoea
    • Exercise, orlistat for obesity
    • Clomifene for infertility
    • Cyproterone or spironolactone or finasteride and/or eflornithine for hirsutism.

Do you think you’re ready? Take the quiz below

Pro Feature - Quiz
Polycystic Ovary Syndrome (PCOS)

Question 1 of 3

Submitting...
Rate question:
You scored
0%
Skipped: 0/3

More Questions Available

Upgrade to TeachMeObGyn Pro

Test your knowledge with a wide range of high-quality multiple-choice questions.

Learn More