Cervical Polyps

Written by Oliver Jones

Last updated 4th December 2024
9 Revisions

Cervical Polyps - Podcast Version

TeachMeObGyn

0:00 / 0:00

Cervical polyps are benign growths protruding from the inner surface of the cervix. They are typically asymptomatic, but a very small minority can undergo malignant change.

They are estimated to be present in 2-5% of women.

In this article, we shall look at the clinical features, investigations and management of cervical polyps.


Aetiology and Pathophysiology

Cervical polyps develop as a result of focal hyperplasia of the columnar epithelium of the endocervix.

The aetiology is unclear, but suggested causes are:

  • Chronic inflammation
  • Abnormal response to oestrogen (cervical polyps are associated with endometrial hyperplasia)
  • Localised congestion of the cervical vasculature

They are more common in multigravidae, with a peak in incidence between 50 and 60 years of age.

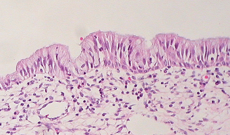
Fig 1 - Normal columnar epithelium of the cervix. Cervical polyps result from focal hyperplasia of this epithelial layer.

Fig 1
Normal columnar epithelium of the cervix. Cervical polyps result from focal hyperplasia of this epithelial layer.


Clinical Features

Cervical polyps are often asymptomatic, identified only via routine cervical screening.

If symptomatic, the most common clinical feature is that of abnormal vaginal bleeding. This can be in the form of menorrhagia, or intermenstrual, post-coital, or post-menopausal bleeding.

Polyps can also cause increased vaginal discharge. Rarely, they grow large enough to block the cervical canal, causing infertility.

On speculum examination, cervical polyps are usually visible as polypoid growths projecting through the external os.


Differential Diagnosis

There are a large number of possible causes for abnormal vaginal bleeding. These include cervical ectropion or cancer, sexually transmitted infections, fibroids, endometritis and pregnancy-related bleeding.

In the post-menopausal population, always exclude endometrial carcinoma.

If a polypoid lesion has been visualised within the cervix, the alternative diagnosis in an endometrial polyp – which could be projecting through cervical canal.

Fig 2 - A vascularised haemorrhagic mass protruding through the external cervical os. This is a giant endometrial polyp.

Fig 2
A vascularised haemorrhagic mass protruding through the external cervical os. This is a giant endometrial polyp.


Investigations

The definitive diagnosis for a cervical polyp is histological examination after its removal. herefore, the main role of any other investigations are to exclude alternative causes of the symptoms:

  • Triple swabs – if there is any suggestion of infection (such as purulent discharge), endocervical and high vaginal swabs should be taken.
  • Cervical smear – to rule out cervical intraepithelial neoplasia (CIN). Sometimes the polyp can prevent the smear being taken, in which case the smear should be repeated after the polyp has been removed.

In approximately 27% of women with cervical polyps, there are also associated endometrial polyps. This is particularly the case in the post-menopausal age group. If symptoms of bleeding persist after removal of the polyp, an ultrasound scan should be arranged to assess the endometrial cavity.


Management

Cervical polyps have a small (less than 0.5%) risk of malignant transformation – and so it is common practice to remove them whenever they are identified (even if asymptomatic).

Small polyps can be removed in the primary care setting. The polyp is grasped with polypectomy forceps, and twisted several times. The polyp is avulsed as the pedicle becomes twisted. The polyp should not be pulled off as it will result in more bleeding. Any resulting bleeding can be cauterised with silver nitrite.

Larger polyps, or those that are more difficult to access can be removed by diathermy loop excision in the colposcopy clinic, or under general anaesthesia if the base of the polyp is broad.

Any excised polyps should be sent for histological examination to exclude malignancy. They have a recurrence rate of 6-12%.

Complications of Polyp Removal

Complications of a polypectomy are rare, but include:

  • Infection
  • Haemorrhage
  • Uterine perforation (very rare) – to reduce this risk only polyps that are visible easily should be removed in the outpatient setting. You should not blindly attempt to remove polyps from within the cervical canal or that are intrauterine in this setting.

Do you think you’re ready? Take the quiz below

Pro Feature - Quiz
Cervical Polyps

Question 1 of 3

Submitting...
Rate question:
You scored
0%
Skipped: 0/3

More Questions Available

Upgrade to TeachMeObGyn Pro

Test your knowledge with a wide range of high-quality multiple-choice questions.

Learn More